
Introduction
Sometimes the smallest changes can make the biggest difference. A tiny chip on a front tooth, a distracting gap, or a stubborn stain can alter the way we feel about our smiles. Because smiles are our social signatures—they shape how we present ourselves in relationships, careers, and everyday interactions.
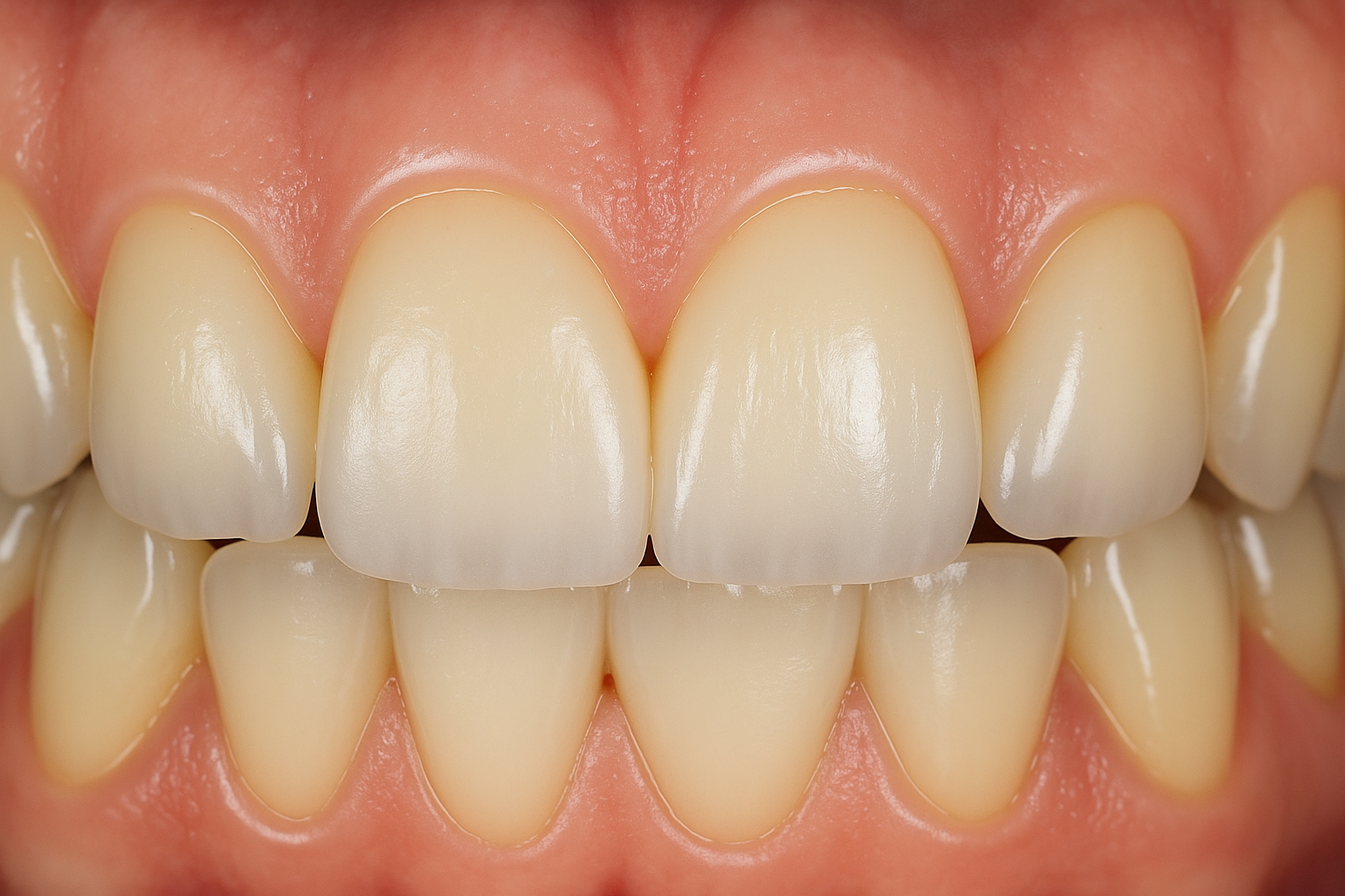
For patients who want a quick, affordable, and conservative solution, dental bonding is often the answer. This treatment uses a tooth-colored composite resin to mask imperfections, restore balance, and enhance aesthetics—all in a single appointment. Subtle, natural, and versatile, dental bonding proves that dentistry is not always about radical transformations. Sometimes it’s about fine-tuning the details that matter most.
Benefits of Dental Bonding
Dental bonding isn’t just about looks—it carries both cosmetic and functional advantages:
- Boosts Confidence: Correcting chips, cracks, and stains allows you to smile more freely in personal and professional settings.
- Natural Appearance: Composite resin mimics the translucency and shade of natural teeth, blending seamlessly.
- Minimally Invasive: Bonding preserves the majority of your natural tooth, unlike veneers or crowns which require enamel removal.
- Quick Results: Many patients leave the office with a rejuvenated smile after just 30–60 minutes per tooth.
- Affordable: It is one of the most cost-effective cosmetic dentistry options, making a confident smile accessible to more people.
- Versatile: From fillings to cosmetic reshaping, bonding adapts to many dental needs.
Who is a Good Candidate for Dental Bonding?
Dental bonding works best for patients with minor imperfections who want fast results without the investment or commitment of more extensive cosmetic treatments. You may be a candidate if you have:
- Chipped or cracked teeth
- Uneven or irregularly shaped teeth
- Small gaps (diastemas)
- Intrinsic stains or discoloration that whitening cannot fix
- Tooth root exposure from gum recession
- Small cavities that require natural-looking fillings
If your concern is more significant—such as severe misalignment, large fractures, or advanced discoloration—options like veneers, crowns, or orthodontics may be more appropriate.
The Biology Behind Bonding
Dental bonding works thanks to a fascinating marriage of chemistry and biology.
- Etching and Conditioning: The tooth surface is lightly roughened and treated with a special conditioning liquid. This primes the enamel and dentin to bond securely with the composite resin.
- Resin Application: The dentist sculpts the resin like clay, creating the ideal shape and contour.
- Curing Light: A blue light polymerizes the resin, hardening it instantly.
- Polishing: The final touches give the bonded tooth a natural luster and smoothness.
This process is minimally invasive because the underlying tooth structure remains largely untouched. The adhesive bond forms a strong mechanical and chemical connection with enamel and dentin, allowing small changes to have a lasting impact.
A Brief History of Dental Bonding
Cosmetic dentistry has always been shaped by the desire to blend science with artistry.
- Early 20th Century: Restorative dentistry relied heavily on gold and amalgam—durable, but hardly cosmetic.
- 1940s–50s: Acrylic resins entered dentistry, but they lacked strength and stained easily.
- 1955: Dr. Michael Buonocore introduced the technique of acid-etching enamel, creating a breakthrough in adhesion science.
- 1960s–70s: Composite resins were developed, finally allowing restorations that looked like natural teeth.
- Today: Modern composites are stronger, more polishable, and available in numerous shades, making dental bonding a reliable and highly aesthetic option.
Dental bonding represents the evolution of dentistry from purely functional repairs to treatments that combine health with beauty.
Limitations of Dental Bonding
While versatile and effective, bonding does have some drawbacks:
- Staining: Resin is more porous than porcelain, making it more prone to discoloration from coffee, tea, wine, or smoking.
- Durability: It is less strong than veneers or crowns, and may chip under heavy biting forces.
- Lifespan: Bonding typically lasts 3–7 years depending on oral habits and maintenance.
For patients seeking more durable or stain-resistant options, veneers or crowns may be better long-term solutions.
Bonding vs. Veneers vs. Crowns
- Bonding: Ideal for small touch-ups, budget-friendly, single-visit treatment.
- Veneers: Thin porcelain shells for a complete smile makeover, stain-resistant, but more invasive and costly.
- Crowns: Best for teeth with extensive damage or large fillings, providing strength and full coverage.
Each has its place—bonding simply happens to be the most conservative option.
What to Expect During the Bonding Procedure
- Preparation – Little or no anesthesia required unless a cavity is involved.
- Shade Matching – Your dentist selects a resin color that blends naturally with your teeth.
- Surface Conditioning – The tooth is etched and primed for adhesion.
- Application – Resin is applied and sculpted to the desired shape.
- Curing – A special light hardens the resin in seconds.
- Finishing – The restoration is polished for shine and smoothness.
The process is painless, quick, and often completed in under an hour per tooth.
Caring for Bonded Teeth
Maintaining bonded teeth is simple, but it requires mindful habits:
- Brush and floss daily.
- Avoid biting fingernails, ice, or pen caps.
- Limit foods and drinks that cause staining.
- Wear a nightguard if you grind your teeth.
- Schedule regular dental visits for polishing and checkups.
Fun Fact
The composite resins used in dental bonding share chemistry with aerospace and automotive materials. They’re designed to withstand pressure, stress, and wear—yet in the hands of a dentist, they can be sculpted into art.
Frequently Asked Questions
Q: How long does dental bonding last?
A: Typically 3–7 years, depending on care and oral habits.
Q: Can bonding fix all cosmetic issues?
A: Bonding is best for small imperfections. For more dramatic changes, veneers or crowns may be recommended.
Q: Will bonding stain?
A: Yes, resin can pick up stains over time, but regular cleaning and avoiding dark beverages help prolong its appearance.
Q: Does the procedure hurt?
A: No, bonding is usually painless and requires little to no anesthesia.
Q: Can bonding be repaired if it chips?
A: Yes, the composite can be repaired or touched up without replacing the entire restoration.
Conclusion
Dental bonding is proof that dentistry doesn’t always need to be complex, lengthy, or expensive to be transformative. With just a touch of resin, a careful hand, and an artistic eye, small imperfections can disappear—replaced by harmony, symmetry, and confidence.
At MI Dental, we see dental bonding as more than just a treatment. It’s an opportunity to give you back the freedom to smile without hesitation.

